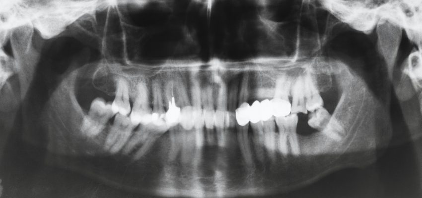
זהו צילום שנשלחים אליו מטופלים על ידי רופאי השיניים שלהם כדי לקבל תמונה כוללת על מצב השיניים בכלל בתוך הפה המטופל, צילום פנורמי שיניים נעשה בהרבה מהמקרים במכונים עם מכשיר המותאם לביצועי צילומים שכאלה, ניתן בעזרתם גם לבצע צילום נשך, צילום סטטוס לפה זאת בנוסף לצילום שיניים פנורמי שהתוצאה שלו היא תצלום כוללני ומדויק של חלל הפה שאפילו ניתן לראות את חלל הסינוסים.
שימושיו של צילום פנורמי שיניים
צילום פנורמי שיניים משמש לרוב כבסיס לקביעת תכנית הטיפולים של השיניים במידה כמובן שגם יש צורך בטיפול מקיף שנתבקש לפעמים מראש על ידי הרופא השולח או המטפל בחולה, לדוגמא האם יש צורך בעקירה פשוטה או עקירה כירורגית לשן מסוימת כשאין החלטה חד משמעית איך לטפל בה, האם יש צורך בטיפולי שרש כאלה ואחרים או לראות לפעמים בעיות במבנה הלסת שמצריכים טיפולים בלסת ולא בשיניים, צילום שיניים פנורמי אשר גם נותן מבט מקיף על חלל הסינוסים ויכול גם להראות על דלקות או גידולים בחללים אלו.
הליך ביצוע צילום שיניים פנורמי
רוב מכוני הצילום המוכרים והרציניים שביניהם מתחייבים לצילום שיניים פנורמי שנעשה במכונם, בעת מהלך צילום פנורמי לשיניים המכונות המבצעות את הצילום מבצעות סריקה מעגלית על חלל הפה ומבנה הלסת, רצף התמונות הנאסף במהלך זה יוצר תמונה אחת פנורמית על האזור המצולם, רמת הקרינה כיום במכשירים אלו היא יחסית נמוכה לעומת העבר ועדיין יש צורך בלבישת חליפת עופר עליונית כדי למנוע סכנת קרינה, כיום גם המכונות דיגיטליות ורמת הדיוק של עבודתן הוא אבסולוטי כמעט.
מתי יש צורך בצילום שיניים פנורמי?
כיום בהרבה מקרים כשמגיעים לרופא השיניים המטפל שלפעמים אינו יודע בוודאות את ההיסטוריה שלכם בשיניים, ישלח אתכם למכון המתמחה בצילום שיניים פנורמי כדי לקבל תמונה כוללת וסכמתית על מצב הלסת מבנה השיניים שלכם, כדי להיות בטוח במידת נחיצות טיפול שניים כזה או אחר והאם יש דברים נוספים שלא ניתן לראות בתצלומים פשוטים או אולי יש סיבה יותר מעמיקה לטיפול רצוי שאותו ניתן לוודא בעזרת צילום פנורמי שיניים, כיום נכנסים גם לשרות מכוני CT שעוסקים גם בצילומים שכאלה אבל נכון להיום הם לא נפוצים כמו מכוני צילום שיניים פנורמי.





















